

Cuidando de você e sua visão
"Transformando sua visão com tecnologia de ponta e atendimento de excelência."
Dr Celso Morita
médico oftalmologista pela USP
Dr. Celso morita
Médico Oftalmologista Especialista em RETINA pela USP.

- Graduação Pela Universidade de São Paulo (USP)
- Especialização em Oftalmologia pela USP
- Sub-especialização em Retina pela USP
"Foco no atendimento humanizado dos pacientes com doenças da retina"

- Médico voluntário do setor de Retina e Vítreo do Hospital das Clínicas da USP
- Membro da Sociedade Brasileira de Retina e Vítreo
"Compromisso em realizar medicina altamente personalizada e com o que há de mais moderno"
Médico oftalmologista especialista em retina
mais de 20 ANOS de experiência
médico graduado e especialista pela USP
Consultas, Exames e cirurgias
A mais alta tecnologia para aproximar paciente e médico.

Triton-Plus Topcon
- Tecnologia japonesa de ponta para o diagnóstico de doenças de retina e glaucoma.


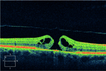
Cirurgias Retina
- Vitrectomia posterior: descolamento de retina, buraco macular e membrana epirretiniana
- Injeção Intraocular: edema macular, DMRI, oclusões vasculares.
Camila Saab
Excelente profissional, o melhor oftalmo que já conheci.
5⭐️ no Google
Fernanda Silotto
Excelente oftalmologista. Além de ser bom tecnicamente, trata os pacientes com muito carinho e cuidado
5⭐️ no Google
Marcia Kawaguchi
Profissional maravilhoso, ótimo oftalmologista! Eu recomendo!!
5⭐️ no Google
Nicholas "kw" Kawasaki
Sensacional! Ótimo profissional! Muito atencioso!
5⭐️ no Google
nancineide gonçalves
Excelente médico humano e técnico. Gratidão pelo atendimento e cuidados com minha filha.
5⭐️ no Google
novo tratamento para degeneração macular (dmri)
Hoje temos tratamento também para a forma seca da DMRI.Baseado na fotobiomodulação, é não invasivo e pode levar a melhora da acuidade visual, sensibilidade ao contraste e das drusas.
Saiba mais sobre o VALEDA: https://adaptltda.com.br/lumithera/
Novos tratamentos para degenEração macular úmida (DMRI) e retinopatia diabética.
Em 2023 uma nova medicação para tratamento da degeneração macular úmida foi lançada no Brasil, o Faricimab foi desenvolvido pela Roche e tem um duplo mecanismo de ação bloqueando o VEGF e a Angiopoietina 2. Como outras medicações dessa classe, a medicação é injetada dentro da cavidade vítrea periodicamente. O Faricimab pode ser utilizado em pacientes que nunca fizeram aplicações intraoculares ou naqueles em que o tramento atual não está surtindo o efeito desejado.
Novo tratamentos para degenração macular seca ( DMRI) aprovado pelo fda.
FDA AprovaTratamento não invasivo para Degeneração Macular Seca: Um Marco na Oftalmologia
O FDA (Food and Drug Administration) anunciou a aprovação de um tratamento inédito para a degeneração macular relacionada à idade (DMRI) na forma seca, uma condição que afeta milhões de pessoas ao redor do mundo. Esta decisão histórica representa um avanço significativo para o tratamento da perda de visão associada à DMRI seca.
A empresa LumiThera Inc. obteve autorização para comercializar o Sistema Valeda® Light Delivery, que emprega tecnologia de fotobiomodulação (PBM) para tratar essa condição oftalmológica. Este é o primeiro tratamento aprovado para DMRI seca, e os resultados dos estudos clínicos têm se mostrado promissores.
O estudo LIGHTSITE III revelou que pacientes tratados com o Sistema Valeda apresentaram uma melhora de mais de 5 letras na acuidade visual, e esses benefícios foram mantidos por até 24 meses. Segundo o Dr. David Boyer, essa tecnologia não invasiva possibilita uma intervenção precoce, beneficiando significativamente os pacientes.
Dados adicionais indicam que apenas 6,8% dos olhos tratados desenvolveram atrofia geográfica, em comparação com 24% no grupo controle, segundo o Dr. Glenn Jaffe, do Duke Reading Center. Esses resultados são especialmente relevantes, considerando o aumento projetado da prevalência global de DMRI, que deve crescer 20% até 2030, potencialmente afetando 243,3 milhões de pessoas.
O CEO da LumiThera, Dr. Clark Tedford, afirmou que a aprovação do FDA inaugura uma nova era no manejo da DMRI seca, oferecendo uma alternativa não invasiva que pode preservar e até melhorar a visão, antes que danos permanentes ocorram.
AGENDE sua primeira consulta, exame, cirurgia,...
Nosso serviço é exclusivo e personalizado, não aceitamos convênios.
Fornecemos todos os documentos necessários para que você possa solicitar reembolso ao seu plano de saúde.
Agende e Tire suas dúvidas
✆WhatsApp: (11) 99256-4641
Rua Vergueiro , 2087
Conjunto 1009 - Vila Mariana - São Paulo - SPSeg-Sex 8:00-18:00h(11) 3564-9719 ou (11) 99256-4641tudo sobre retina
Novidades sobre o diagnóstico e tratamento de doenças da RETINA
August 5, 2025Bem-vindo ao TUDO SOBRE RETINA: Cuidando da Sua Visão com Expertise em Retina Olá, leitores!...
© 2018














